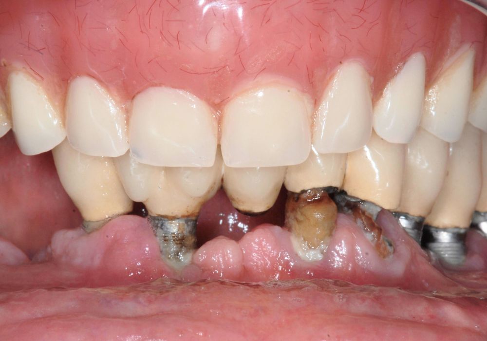
All on 4 / All-on-Four à Toulouse
Si vous souffrez de la perte de dents et que vous cherchez une solution efficace et rapide pour retrouver un sourire esthétique, la technique All on 4 et All on 6 peut être la solution idéale pour vous. Dans cette page, nous allons vous expliquer en quoi consiste cette technique, comment elle fonctionne et si elle est la meilleure option pour vous.























